Các bác sĩ Bệnh viện Phổi Trung ương vừa kịp thời xử trí thành công trường hợp bé trai P.T.T.P (13 tuổi, Hà Nội) bị dị vật đinh ghim sắc nhọn mắc sâu trong đường thở, sau khi trẻ vô tình hít phải khi đang ngậm trong lúc xem điện thoại.
Theo lời kể của gia đình, tối 13/10, bé P.T.T.P. (13 tuổi, Hà Nội) vừa ngồi xem điện thoại vừa ngậm một ghim tài liệu dài khoảng 2,5 cm.
Khi cười to, chiếc ghim rơi vào họng khiến bé ho sặc sụa, khó thở, cảm giác vướng ngực và nói khó.
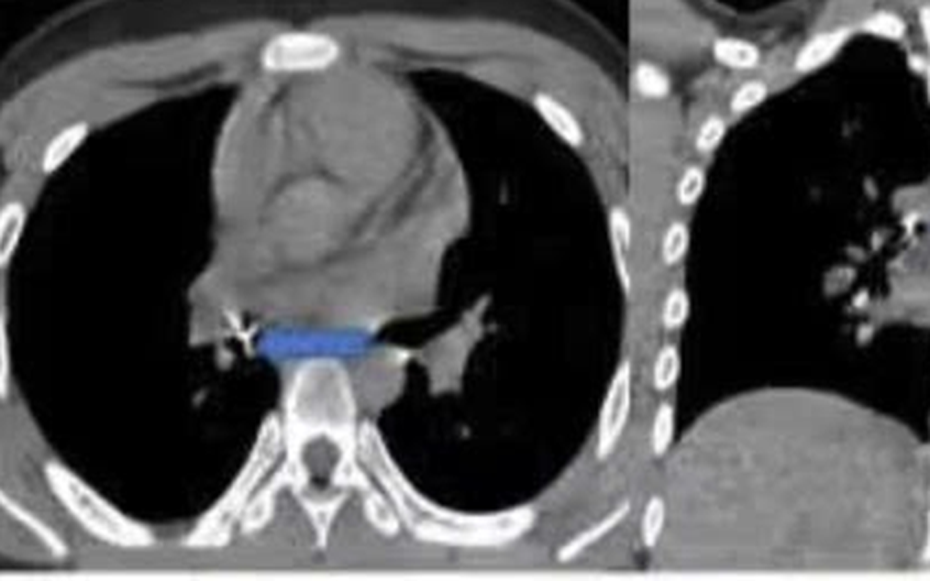
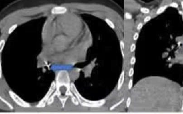
Ngay lập tức, gia đình đưa bé tới bệnh viện gần nhà. Sau chẩn đoán bằng chụp cắt lớp vi tính lồng ngực và nội soi phế quản ống mềm, các bác sĩ xác định dị vật nằm sâu tại phế quản trung gian bên phải, đầu ghim đã đâm xuyên vào thành phế quản gây chảy máu và phù nề.

Hình ảnh nội soi ống mềm gắp dị vật đinh ghim xuyên thành phế quản trung gian. Ảnh: BVCC
Sau hơn hai giờ can thiệp tại cơ sở ban đầu không thành công, bệnh nhi được chuyển khẩn cấp tới Bệnh viện Phổi Trung ương. Tiếp nhận ca bệnh, ThS.BSCKII Nguyễn Lê Nhật Minh - Trưởng khoa Nội soi chẩn đoán và can thiệp cùng ê-kíp đã tiến hành nội soi phế quản ống mềm để gắp dị vật.
Theo bác sĩ Minh, dị vật là chiếc đinh ghim sắc nhọn, đầu ghim cắm sâu vào thành phế quản, thao tác lấy rất khó bởi bệnh nhi có phản xạ ho, cần thao tác nhanh, chính xác để tránh làm rách thành phế quản hoặc đẩy dị vật xuống sâu hơn, có thể gây nhiễm trùng, tràn khí màng phổi hoặc suy hô hấp cấp.
Ê-kíp đã cẩn trọng dùng kìm nội soi chuyên dụng gỡ phần đầu ghim khỏi thành phế quản, sau đó từ từ gắp cả dị vật ra ngoài. Toàn bộ thủ thuật diễn ra trong khoảng 15 phút và thành công.
Sau thủ thuật, bệnh nhi giảm ho, đỡ khó thở, còn cảm giác tức ngực nhẹ. Do xuất hiện biến chứng tràn khí trung thất và tràn khí dưới da vùng cổ, bệnh nhi tiếp tục được theo dõi và điều trị nội khoa tại Bệnh viện Phổi Trung ương.
Chia sẻ lại sự việc, cháu bé vẫn còn sợ: "Lúc đầu cháu chỉ nghịch thôi, cháu ngồi xem điện thoại trên bàn học vào buổi tối, vừa xem vừa lấy tay đưa đinh ghim tài liệu lên miệng nghịch. Cháu không ngờ chỉ một cái cười thôi mà đinh lại rơi vào họng, ho không dừng được. Cháu rất sợ, cảm thấy khó thở, nói khó, vướng ở họng. Mẹ cháu đã đưa cháu vào Bệnh viện Phổi Trung ương, các bác sĩ đã lấy được dị vật ra giúp cháu".
Theo ThS.BSCKII Nguyễn Lê Nhật Minh, trẻ em, nhất là nhóm tuổi 5 đến 15, thường có thói quen ngậm đồ vật như bút, ghim, nắp bút, đồng xu...
Khi cười, nói hoặc hít mạnh, những vật này có thể lọt vào đường thở gây hậu quả nghiêm trọng. Đặc biệt, dị vật sắc nhọn rất dễ đâm thủng niêm mạc, gây chảy máu, nhiễm trùng hoặc suy hô hấp cấp.
Đồng thời, bác sĩ cũng khuyến cáo, khi trẻ có dấu hiệu ho sặc, khó thở đột ngột hoặc nghi ngờ hít phải vật lạ, cần đưa ngay đến cơ sở y tế chuyên khoa hô hấp, không tự xử lý tại nhà để tránh biến chứng nặng.
Trúc Chi (t/h Nhân Dân, Đại Biểu Nhân Dân)
