Ngày 24/12, Bệnh viện Đa khoa Phương Đông thông tin, mới tiếp nhận một bệnh nhân nam 64 tuổi bị ung thư tuỵ, sức khoẻ suy kiệt vì tuyệt thực để "bỏ đói" khối u.
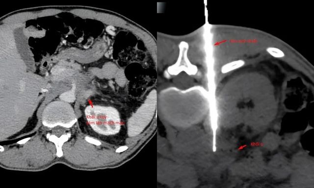
Theo Ths.BS Trần Văn Giang, Phó Giám đốc Trung tâm Chẩn đoán hình ảnh và Điện quang can thiệp Quốc tế, bệnh nhân được phát hiện có khối u tụy xâm lấn mạch máu tại một số cơ sở y tế, kể cả tuyến Trung ương.
Bác sĩ chẩn đoán giải phẫu bệnh là chìa khóa để xác định hướng điều trị nhưng khối u nằm ở vị trí khó, áp sát nhiều cấu trúc nguy hiểm khiến bệnh nhân chưa thể làm sinh thiết để chẩn đoán mô bệnh học.

Hình ảnh khối u khối u vẫn còn nguyên, trong khi bệnh nhân sụt 14kg và sức khoẻ suy kiệt dần (Ảnh: BVCC).
Trong tuyệt vọng, bệnh nhân đi cầu cúng khắp nơi, thậm chí chọn cách không có cơ sở khoa học là tuyệt thực 3 tuần với hy vọng "bỏ đói" khối u. Kết quả, khối u vẫn còn nguyên, trong khi bệnh nhân sụt 14kg và sức khoẻ suy kiệt dần.
Nói về bệnh đặc biệt này, Ths.BS Trần Văn Giang cho biết, bên cạnh kinh nghiệm và đánh giá giải phẫu của bác sĩ, hệ thống CT đa dãy độ phân giải cao đóng vai trò quyết định.
Theo bác sĩ Giang, khối u tụy nằm ở vị trí khó, tiếp giáp nhiều cấu trúc mạch máu và tạng rỗng, đòi hỏi phải xác định chính xác đường vào an toàn nhất ngay từ đầu. Chỉ còn một "khe cửa hẹp" duy nhất: tiếp cận từ phía sau, xuyên qua khoảng giữa cột sống và thận, một đường vào khó, rủi ro cao và đòi hỏi kỹ thuật can thiệp cực kỳ tinh vi.
"Với bệnh nhân này, chúng tôi sử dụng cắt lớp vi tính độ phân giải cao để tái tạo đa mặt phẳng, đánh giá chi tiết mối liên quan giữa khối u và các cấu trúc lân cận, từ đó lựa chọn hướng sinh thiết tối ưu.

Bệnh nhân tuyệt thực 3 tuần với hy vọng "bỏ đói" khối u (Ảnh: BVCC).
Nhờ hình ảnh rõ nét và khả năng định vị chính xác của CT, thủ thuật được thực hiện an toàn, lấy được bệnh phẩm đạt yêu cầu, không ghi nhận biến chứng, giúp bệnh nhân sớm có chẩn đoán mô bệnh học để định hướng điều trị tiếp theo", BS.Giang cho hay.
Từ vụ việc trên, BS.Giang nhấn mạnh, dù bệnh ở giai đoạn muộn, nhưng việc xác định được mô bệnh học đã mở ra cơ hội điều trị, thay vì buông xuôi trong vô vọng.
Các bác sĩ khuyên bệnh nhân không nên áp dụng cách thiếu khoa học như tuyệt thực để chữa bệnh mà nên tuân thủ phác đồ điều trị được chỉ định, kết hợp dinh dưỡng và chăm sóc toàn diện để tăng cơ hội hồi phục.