Mới đây, Trung tâm Khám chữa bệnh theo yêu cầu và Quốc tế – Bệnh viện Bệnh Nhiệt đới Trung ương vừa tiếp nhận và điều trị thành công một trường hợp tổn thương não do ký sinh trùng, với biểu hiện ban đầu dễ gây nhầm lẫn với u não.
Bác sĩ Nguyễn Văn Phương, Phó Giám đốc Trung tâm Khám chữa bệnh theo yêu cầu và quốc tế, cho biết khoảng 8 ngày trước khi nhập viện, bệnh nhân bất ngờ xuất hiện cơn co cứng kèm tê tay trái khi đang ở nhà.
Đáng chú ý sau thăm khám ban đầu tại một cơ sở y tế, các bác sĩ ghi nhận tổn thương nghi ngờ u não, chưa loại trừ yếu tố nhiễm trùng nên bệnh nhân được chuyển đến Bệnh viện Bệnh Nhiệt đới Trung ương để đánh giá.

Sán làm tổ trong não khiến người đàn ông co giật.
Thời điểm nhập viện, bệnh nhân tỉnh táo, không sốt, không có dấu hiệu thần kinh khu trú hay hội chứng màng não. Tuy nhiên, bệnh nhân đau đầu nhiều và còn cảm giác tê nhẹ tay trái.
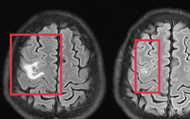
Sau khi các bác sĩ thăm khám và chụp cộng hưởng từ sọ não phát hiện một nang nhỏ ở thùy trán trái, kích thước khoảng 11 x 7 mm, kèm phù não nhẹ. Hình ảnh gợi ý tổn thương do ký sinh trùng hơn là u não nguyên phát. Xét nghiệm huyết thanh học kháng thể kháng sán dây chó dương tính, xác định chẩn đoán tổn thương não do ký sinh trùng.
Bệnh nhân được điều trị theo phác đồ, kiểm soát triệu chứng và theo dõi sát diễn biến thần kinh. Sau 10 ngày, tình trạng cải thiện rõ rệt, bệnh nhân hết tê tay, không co giật, đau đầu hay chóng mặt biến mất, toàn trạng ổn định. Bệnh nhân xuất viện và tiếp tục điều trị ngoại trú đủ liệu trình 4 tuần.
Khi tái khám gần một tháng sau, chụp cộng hưởng từ cho thấy nang não thu nhỏ rõ, phù não giảm, không còn dấu hiệu tiến triển, đáp ứng điều trị tốt.
Từ trường hợp này, các bác sĩ khuyến cáo người dân không nên chủ quan với các triệu chứng thần kinh bất thường, dù chỉ thoáng qua.
Việc đến cơ sở y tế chuyên khoa để được chẩn đoán hình ảnh và làm xét nghiệm đầy đủ có ý nghĩa quan trọng trong phát hiện sớm bệnh. Điều trị đúng phác đồ giúp tổn thương não hồi phục tốt, tránh biến chứng nặng cũng như các can thiệp phẫu thuật không cần thiết.
Mỗi người cần duy trì thói quen ăn chín uống sôi, rửa tay sạch và đảm bảo vệ sinh thực phẩm để phòng ngừa hiệu quả các bệnh lý ký sinh trùng nguy hiểm nhưng hoàn toàn có thể kiểm soát nếu được phát hiện kịp thời.
Trúc Chi (t/h Lao Động, Người Lao Động)
