Phát hiện
Phát hiện - Tin tức phát hiện cập nhật đầy đủ và mới nhất trên Tạp chí điện tử Người đưa tin pháp luật.

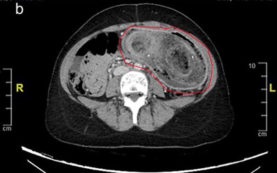
Thiếu nữ 17 tuổi liên tục đau bụng, nôn ói, bác sĩ sốc nặng khi phát hiện "bí mật" đáng sợ
Nữ bệnh nhân 17 tuổi gặp phải tình trạng đau bụng và bị nôn liên tục. Cô gái trẻ cũng không thể nuốt được bất cứ thứ gì.

Điều tra vụ phát hiện thi thể người đàn ông 41 tuổi trong căn nhà hoang
Thi thể người đàn ông được phát hiện trong căn nhà bỏ hoang, chỉ cách nơi ông sinh sống vài trăm mét.

Phát hiện chồng bị điện giật cứng người trong bếp, vợ có màn xử lý cực thông minh
Nhờ phản ứng bình tĩnh và quyết đoán của vợ, người chồng đã thoát khỏi giây phút cận kề sinh tử.

Phát hiện thi thể người phụ nữ mang thai trên sông
Người chồng vô cùng đau khổ khi nhìn thợ lặn đưa thi thể người vợ mất tích khỏi mặt nước.

Chụp X-quang họng bé trai 7 tháng tuổi, bác sĩ sốc nặng khi phát hiện "bí mật" đáng sợ
Các bác sĩ đã lấy chiếc ghim ra khỏi cổ họng bé trai 7 tháng tuổi một cách an toàn sau khi em vô tình nuốt phải nó.

Bờ sông Ngàn Sâu sạt lở, phát lộ quả bom nặng gần 200kg
Sau những trận mưa lớn, bờ sông Ngàn Sâu sạt lở đã phát lộ một quả bom có chiều dài khoảng 1,5m, đường kính khoảng 25cm, nặng ước tính gần 200kg.

Đi đào giun, người đàn ông phát hiện ra kho báu quý giá
Một người đàn ông đi đào giun đã có một khám phá đáng nhớ trong đời khi tìm thấy kho báu lên tới 20.000 đồng bạc.

Bé 11 tháng tuổi nôn nhiều, quấy khóc dữ dội, bác sĩ phát hiện "bí mật đáng sợ"
Bệnh nhi 11 tháng tuổi nhập viện trong tình trạng nôn nhiều, quấy khóc dữ dội. Qua thăm khám và chụp X-quang, các bác sĩ phát hiện dị vật kim loại hình tròn mắc kẹt tại thực quản.

Bác sĩ sốc nặng khi phát hiện bé trai vừa chào đời đã "mang thai"
Khi siêu âm cho bé trai sơ sinh, các bác sĩ đã vô cùng sửng sốt.

Bé trai 3 tuổi phát hiện thứ "đáng sợ" trong sân nhà, cha mẹ lập tức báo cảnh sát
Cha mẹ cậu bé nhận ra rằng đó không phải là một đồ chơi bình thường nên lập tức gọi điện báo cơ quan chức năng.

Đột kích quán karaoke, phát hiện nhiều nhân viên mặc đồ xuyên thấu phục vụ khách ở Đồng Nai
Lực lượng chức năng vừa đồng loạt kiểm tra đột xuất nhiều cơ sở kinh doanh karaoke trên địa bàn và phát hiện tình trạng nhân viên nữ ăn mặc phản cảm, mặc đồ xuyên thấu phục vụ khách. Các chủ cơ sở thừa nhận cố tình để nhân viên “thiếu vải” nhằm thu hút khách và tăng lợi nhuận.

Tắc mũi kéo dài, đi khám, người đàn ông 34 tuổi sốc nặng khi phát hiện "bí mật đáng sợ"
Người đàn ông 34 tuổi nhập viện trong tình trạng ngạt tắc mũi phải kéo dài, chảy mũi thường xuyên, kèm ù tai. Bệnh nhân đã đi khám, dùng thuốc… nhưng các triệu chứng này không thuyên giảm.

Đau vùng kín suốt 1 tháng sau sinh,người phụ nữ sốc nặng khi phát hiện "vật lạ" trong cơ thể
Gia đình người phụ nữ đang cân nhắc hành động pháp lý trước sự tắc trách của nhân viên bệnh viện.

Phát hiện xe tải chở gần 7 tấn mỡ động vật không rõ nguồn gốc ở Đồng Nai
Tại thời điểm kiểm tra, tài xế không xuất trình được giấy tờ chứng minh nguồn gốc số hàng, toàn bộ tang vật cùng phương tiện đã bị lập biên bản và bàn giao cho Công an xã Dầu Giây xử lý theo quy định.

Phát hiện hàng loạt vi phạm trong hoạt động hành nghề y, dược tư nhân
Qua đợt kiểm tra 23 cơ sở hành nghề y, dược trên địa bàn tỉnh Lâm Đồng, đoàn kiểm tra phát hiện hầu hết đều có vi phạm, với tổng số tiền xử phạt gần 500 triệu đồng, trong đó nhiều cơ sở bị đình chỉ hoạt động.

Phát hiện thi thể nam giới đang phân huỷ trong bồn nước chung cư
Người dân phát hiện nước có mùi lạ nên đã thuê công nhân vệ sinh đến kiểm tra. Khi xả hết nước trong bồn, họ hoảng sợ khi chứng kiến cảnh tượng kinh hoàng.

Loài cây mới chưa từng ghi nhận trên thế giới, vừa được phát hiện ở Việt Nam
Theo các nhà khoa học, việc phát hiện loài thực vật mới tại Vườn quốc gia Phong Nha-Kẻ Bàng là một ghi nhận quan trọng trong giới thực vật học, đặc biệt là mối quan hệ của loài này đối với các loài khác cùng chi ở trên thế giới.

Người dân hoảng hồn khi phát hiện rắn hổ mang trắng quý hiếm dài 2,4m trong sân nhà
Con rắn hổ mang trắng dài khoảng 2,4m xuất hiện trong sân nhà khiến người dân sợ hãi.

Hà Nội: Phát hiện 1.440 bánh trung thu nhập lậu
Thời điểm kiểm tra, lực lượng chức năng phát hiện cơ sở đang bày bán 1.568 chiếc bánh các loại, trong đó có 1.440 chiếc bánh trung thu và 128 chiếc bánh bông lan mang nhãn chữ nước ngoài. Chủ cơ sở không xuất trình được hóa đơn, chứng từ hợp pháp chứng minh nguồn gốc, xuất xứ của lô hàng.

2 cơ sở kinh doanh ở Đồng Nai bị phát hiện bày bán hàng hóa không nguồn gốc
Công an xã Trảng Bom vừa phát hiện, xử lý 2 cơ sở kinh doanh bày bán hàng trăm sản phẩm giày dép, mỹ phẩm không rõ nguồn gốc xuất xứ, giả nhãn hiệu. Toàn bộ số hàng đã bị tạm giữ để tiếp tục điều tra, xử lý theo quy định.

Đang đi xe máy, người phụ nữ sốc nặng khi phát hiện xấp tiền mặt giữa đường
Người phụ nữ đang đi xe máy qua đoạn đường vắng thì bất ngờ phát hiện một xấp tiền mặt lớn nằm lộn xộn giữa đường.

Hà Nội: Xe tải chở gần 2.000 quạt, sạc điện không rõ nguồn gốc
Một xe tải vận chuyển gần 2.000 quạt, sạc điện không rõ nguồn gốc vừa bị tổ công tác Đội CSGT đường bộ số 9 phối hợp Công an xã Vật Lại phát hiện, ngăn chặn và bàn giao cho cơ quan chức năng xử lý.

Vụ 2 thi thể nữ giới được phát hiện ở hồ Hoàng Mai 3: Hé lộ nguyên nhân
Trước đó, ngày 26/8, 2 thi thể nữ giới được người dân phường Nếnh (Bắc Ninh) phát hiện nổi trên mặt hồ Hoàng Mai 3 vào hai khung giờ khác nhau.

Phát hiện chồng ngoại tình với bạn thân, vợ có hành động gây sốc
Luật sư cảnh báo hành vi của người phụ nữ có thể xâm phạm quyền riêng tư, danh dự và nhân phẩm của người khác.