Ngày 22/1, Trung tâm Y tế khu vực Thạch Hãn, tỉnh Quảng Trị cho biết, vừa ghi nhận trường hợp bệnh nhân với nhiều kén sán ở chân.
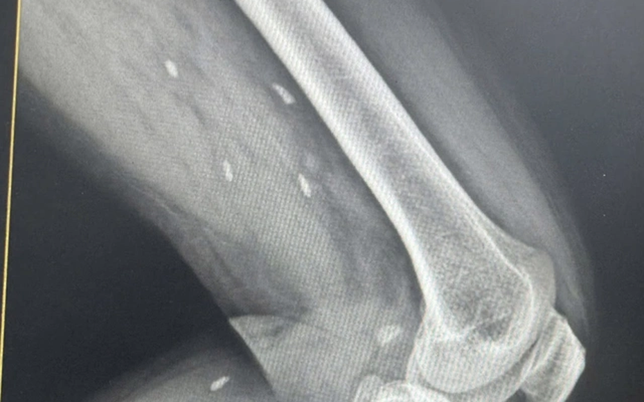
Nhiều kén sán kích thước như hạt gạo nằm rải rác ở các mô vùng xương đùi và cẳng chân bệnh nhân.
Người bệnh đến thăm khám khi có triệu chứng mệt mỏi, đau nhức nhiều ở vùng chân, lưng, hạn chế vận động… Bệnh nhân được chỉ định thực hiện chụp X- quang thường quy.
Bác sĩ Đỗ Hồng Thanh, Phó Giám đốc Trung tâm Y tế khu vực Thạch Hãn chia sẻ với Sức khỏe & Đời sống, kết quả X – quang phát hiện nhiều kén sán kích thước như hạt gạo nằm rải rác ở các mô vùng xương đùi và cẳng chân bệnh nhân.
Khai thác tiền sử dịch tễ, người bệnh cho biết có thói quen ăn rau sống. Bệnh nhân được chuyển lên tuyến trên điều trị với chẩn đoán nhiễm kén sán.
Chuyên gia khuyến cáo người dân nên thực hiện ăn chín uống sôi, không ăn rau sống, thịt chưa nấu chín (đặc biệt là tiết canh); vệ sinh sạch sẽ nơi ở, đảm bảo thoáng mát; tẩy giun sán định kỳ 6 tháng một lần; khám sức khỏe định kỳ để phát hiện và điều trị kịp thời các bệnh lý nguy hiểm.
- Nấu chín thực phẩm khi có thể: Nấu chín thịt và cá đến nhiệt độ nội bộ ít nhất 63°C, giúp tiêu diệt các ký sinh trùng tiềm ẩn. Trung tâm Kiểm soát và Phòng ngừa Dịch bệnh Hoa Kỳ (CDC) khuyến cáo: "Nấu chín thịt và cá đúng cách là biện pháp hiệu quả nhất để ngăn ngừa nhiễm sán dây".
- Vệ sinh cá nhân tốt: Rửa tay kỹ bằng xà phòng và nước sạch trước và sau khi xử lý thực phẩm, đặc biệt là thịt và cá sống, để ngăn ngừa lây lan trứng sán. Viện Y học Nhiệt đới và Vệ sinh London nhấn mạnh: "Vệ sinh cá nhân tốt, bao gồm rửa tay thường xuyên, là chìa khóa để phòng ngừa nhiễm ký sinh trùng".
- Tránh tiêu thụ thực phẩm sống hoặc chưa chín kỹ: Để bảo vệ sức khỏe chúng ta nên nạn chế ăn thực phẩm sống hoặc chưa chín kỹ nếu bạn không chắc chắn về nguồn gốc và cách chế biến. Theo Mayo Clinic: "Yếu tố nguy cơ chính cho nhiễm sán dây là ăn thịt và cá sống hoặc chưa chín kỹ".
Trúc Chi (t/h)
