Bác sĩ

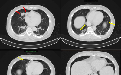
Người đàn ông 70 tuổi, tưởng cảm cúm hóa ra phổi “trắng xóa”: Biết "thủ phạm" nhiều người hoang mang

Người đàn ông 70 tuổi, tưởng cảm cúm hóa ra phổi “trắng xóa”: Biết "thủ phạm" nhiều người hoang mang

Sức khỏe Thứ 3, 26/05/2026 | 04:00

Tưởng chỉ là một đợt cảm cúm thông thường, người đàn ông 70 tuổi không ngờ chỉ vài ngày sau đã rơi vào suy đa tạng với hai lá phổi “trắng xóa”, và nguyên nhân lại ẩn ngay trong thói quen sinh hoạt quen thuộc của rất nhiều gia đình.

Duy trì thói quen ăn nhiều trứng trong 10 năm, người đàn ông nhận kết quả không ngờ

Duy trì thói quen ăn nhiều trứng trong 10 năm, người đàn ông nhận kết quả không ngờ

Sức khỏe Thứ 3, 26/05/2026 | 03:00

Suốt 10 năm ăn trứng gần như mỗi ngày, người đàn ông 45 tuổi không ngờ cơ thể mình lại thay đổi theo cách khiến cả giới chuyên gia phải chú ý.

Cảnh giác chiêu trò giả mạo bác sĩ bằng công nghệ AI để lừa đảo

Cảnh giác chiêu trò giả mạo bác sĩ bằng công nghệ AI để lừa đảo

An ninh - Hình sự Thứ 3, 26/05/2026 | 03:00

Ngoài mục đích chiếm đoạt tài sản, các đối tượng còn thu thập thông tin cá nhân như số điện thoại, địa chỉ, hình ảnh giấy tờ tùy thân, thông tin tài khoản ngân hàng, tình trạng bệnh lý… để phục vụ các hoạt động lừa đảo khác.

Chơi bóng giữa trưa nắng, nam sinh 15 tuổi bị sốc nhiệt phải cấp cứu khẩn

Chơi bóng giữa trưa nắng, nam sinh 15 tuổi bị sốc nhiệt phải cấp cứu khẩn

Sức khỏe Thứ 2, 25/05/2026 | 20:00

Kết quả xét nghiệm máu ghi nhận có biểu hiện toan chuyển hóa nặng, lactate máu tăng cao, tổn thương gan, men gan tăng cao, tổn thương thận, tổn thương tụy, hủy cơ nặng…

Người phụ nữ 25 tuổi ho dữ dội, bác sĩ sốc nặng khi phát hiện bí mật "đáng sợ"

Người phụ nữ 25 tuổi ho dữ dội, bác sĩ sốc nặng khi phát hiện bí mật "đáng sợ"

Sức khỏe Thứ 2, 25/05/2026 | 10:20

Ban đầu cô gái trẻ cho rằng những cơn ho là do hít phải lông chó. Nhưng sau đó, cô đã rất sốc khi phát hiện ra "thủ phạm" thực sự.

Người đàn ông 53 tuổi đột ngột bị liệt vào buổi sáng, bác sĩ chỉ rõ "sai lầm chí mạng"

Người đàn ông 53 tuổi đột ngột bị liệt vào buổi sáng, bác sĩ chỉ rõ "sai lầm chí mạng"

Sức khỏe Thứ 2, 25/05/2026 | 06:00

Dù cơ thể đã xuất hiện những dấu hiệu bất thường nhưng bệnh nhân nghĩ rằng đó chỉ là đau cơ lưng nên không để ý. Tới một ngày, ông phát hiện đôi chân bị liệt, không thể đứng dậy.

Người đàn ông 25 tuổi tử vong trên giường, bác sĩ chỉ mặt “thủ phạm” là thói quen rất nhiều người trẻ đang mắc phải

Người đàn ông 25 tuổi tử vong trên giường, bác sĩ chỉ mặt “thủ phạm” là thói quen rất nhiều người trẻ đang mắc phải

Sức khỏe Thứ 2, 25/05/2026 | 04:00

Đang ở độ tuổi khỏe mạnh dù ngày nào cũng tập thể dục nhưng nam thanh niên 25 tuổi bỗng tử vong ngay trên giường ngủ khiến gia đình sốc nặng, câu nói của người thân gây ám ảnh: “Anh ấy chưa từng bỏ tập ngày nào”.

Người đàn ông 41 tuổi đau dữ dội, bác sĩ "sốc ngang" thấy con lươn dài 50cm trong bụng

Người đàn ông 41 tuổi đau dữ dội, bác sĩ "sốc ngang" thấy con lươn dài 50cm trong bụng

Sức khỏe Thứ 2, 25/05/2026 | 02:00

Đau bụng dữ dội và rơi vào sốc nhiễm trùng, người đàn ông ở Đồng Nai khiến bác sĩ bất ngờ khi phát hiện một con lươn dài hơn 50cm đã xuyên thủng trực tràng, chui vào ổ bụng.

Cô gái 20 tuổi “gan trắng xóa”, bác sĩ chỉ thẳng 2 món khoái khẩu “vạn người mê”

Cô gái 20 tuổi “gan trắng xóa”, bác sĩ chỉ thẳng 2 món khoái khẩu “vạn người mê”

Sức khỏe Chủ nhật, 24/05/2026 | 04:00

Một cô gái 20 tuổi bàng hoàng khi kết quả khám cho thấy lá gan “trắng xóa” dù trước đó vẫn nghĩ mình hoàn toàn khỏe mạnh. Điều khiến bác sĩ lo ngại hơn cả là nguyên nhân lại đến từ hai món ăn quen thuộc, được nhiều người yêu thích mỗi ngày mà ít ai ngờ lại có thể âm thầm tàn phá cơ thể.

Người phụ nữ đau lưng suốt 2 năm, bác sĩ phát hiện ra bí mật "đáng sợ"

Người phụ nữ đau lưng suốt 2 năm, bác sĩ phát hiện ra bí mật "đáng sợ"

Sức khỏe Thứ 7, 23/05/2026 | 20:00

Một phụ nữ bị đau lưng suốt 2 năm, suýt bị liệt. Quá trình phẫu thuật, các bác sĩ đã rất sốc khi phát hiện hàng ngàn ký sinh trùng trong tủy sống của bà.

Ăn cháo suốt 1 tháng để "dưỡng dạ dày", người phụ nữ 55 tuổi "kinh ngạc" khi đi khám

Ăn cháo suốt 1 tháng để "dưỡng dạ dày", người phụ nữ 55 tuổi "kinh ngạc" khi đi khám

Sức khỏe Thứ 7, 23/05/2026 | 04:00

Tin rằng ăn cháo loãng sẽ giúp dạ dày được "nghỉ ngơi", người phụ nữ 55 tuổi duy trì món ăn này suốt cả tháng, thế nhưng khi nhận kết quả khám chị bất ngờ.

Đau bụng tưởng nhẹ, người đàn ông "sốc nặng" khi phát hiện thứ "đáng sợ" to bằng quả dưa lưới

Đau bụng tưởng nhẹ, người đàn ông "sốc nặng" khi phát hiện thứ "đáng sợ" to bằng quả dưa lưới

Sức khỏe Thứ 7, 23/05/2026 | 02:00

Chỉ vì nghĩ “đau bụng nhẹ không đáng lo”, người đàn ông 45 tuổi không ngờ bên trong cơ thể mình lại đang tồn tại một thứ "đáng sợ" to bằng quả dưa lưới có thể vỡ bất cứ lúc nào, đe dọa tính mạng trong gang tấc.

Mổ bụng cứu chó hoang, bác sĩ “đứng hình” khi phát hiện dây chuyền vàng đắt đỏ

Mổ bụng cứu chó hoang, bác sĩ “đứng hình” khi phát hiện dây chuyền vàng đắt đỏ

Cộng đồng mạng Thứ 7, 23/05/2026 | 00:30

Một ca mổ tưởng chừng chỉ để cứu chiếc chân gãy của chú chó hoang bất ngờ hé lộ bí ẩn khó tin khi các bác sĩ phát hiện một sợi dây chuyền vàng đắt đỏ nằm sâu trong cơ thể nó. Biết nguyên nhân ai cũng gật gù.

Ăn trứng mỗi ngày trong 2 tuần, bác sĩ tiết lộ điều bất ngờ xảy ra với cơ thể

Ăn trứng mỗi ngày trong 2 tuần, bác sĩ tiết lộ điều bất ngờ xảy ra với cơ thể

Sức khỏe Thứ 6, 22/05/2026 | 10:00

Trứng là một phần của chế độ ăn giàu dinh dưỡng có thể hỗ trợ sức khỏe tổng thể, bao gồm cả hệ tim mạch và mắt. Vậy điều gì xảy ra với cơ thể nếu ăn trứng mỗi ngày trong 2 tuần.

Người đàn ông 67 tử vong sau bữa ăn, bác sĩ cảnh báo "thủ phạm vô hình" nhiều người đang xem thường

Người đàn ông 67 tử vong sau bữa ăn, bác sĩ cảnh báo "thủ phạm vô hình" nhiều người đang xem thường

Sức khỏe Thứ 6, 22/05/2026 | 04:00

Chỉ một bữa ăn tưởng chừng vô hại lấy từ tủ lạnh, người đàn ông 67 tuổi nhanh chóng rơi vào tình trạng nguy kịch và tử vong, để lại cảnh báo rợn người về “kẻ giấu mặt” có thể đang tồn tại ngay trong thói quen ăn uống hằng ngày của nhiều gia đình.

Bé trai 9 tuổi nhập viện khẩn cấp, bố mẹ "sốc" khi bác sĩ lấy ra thứ "đáng sợ" từ bụng con

Bé trai 9 tuổi nhập viện khẩn cấp, bố mẹ "sốc" khi bác sĩ lấy ra thứ "đáng sợ" từ bụng con

Sức khỏe Thứ 6, 22/05/2026 | 02:00

Cậu bé 9 tuổi được đưa đi cấp cứu vì đau bụng dữ dội, không ai ngờ kết quả kiểm tra lại hé lộ tình trạng khiến cả bác sĩ cũng bàng hoàng.

Bé gái 12 tuổi thủng ruột vì mắc sai lầm này khi uống nước theo cách "vạn người mê"

Bé gái 12 tuổi thủng ruột vì mắc sai lầm này khi uống nước theo cách "vạn người mê"

Sức khỏe Thứ 5, 21/05/2026 | 12:00

Uống loại nước này thay nước lọc trong thời gian dài, bé gái 12 tuổi bất ngờ nhập viện vì đau bụng dữ dội và được chẩn đoán thủng tá tràng - hệ quả nguy hiểm từ thói quen tưởng chừng vô hại.

Nam giáo viên 38 tuổi tử vong đột ngột, bác sĩ cảnh báo dấu hiệu "quen thuộc" ít ai để ý

Nam giáo viên 38 tuổi tử vong đột ngột, bác sĩ cảnh báo dấu hiệu "quen thuộc" ít ai để ý

Sức khỏe Thứ 5, 21/05/2026 | 04:00

Vẫn ăn tối, trò chuyện cùng gia đình như bình thường, người đàn ông 38 tuổi bất ngờ tử vong chỉ ít giờ sau đó. Bác sĩ cho biết trước khi đột tử, nạn nhân đã xuất hiện một dấu hiệu nhiều người dễ bỏ qua.

Bé 10 ngày tuổi bụng phình to, kết quả thăm khám khiến gia đình bàng hoàng

Bé 10 ngày tuổi bụng phình to, kết quả thăm khám khiến gia đình bàng hoàng

Sức khỏe Thứ 5, 21/05/2026 | 02:00

Mới 10 ngày tuổi, bé sơ sinh đã đối mặt khối u quái hiếm gặp đe dọa tính mạng. Điều các bác sĩ phát hiện sau đó khiến ai cũng bất ngờ.

Người đàn ông đau đớn suốt 3 năm, bác sĩ lấy ra viên sỏi khổng lồ nặng 1,3 kg

Người đàn ông đau đớn suốt 3 năm, bác sĩ lấy ra viên sỏi khổng lồ nặng 1,3 kg

Sức khỏe Thứ 4, 20/05/2026 | 13:00

Các bác sĩ đã phẫu thuật và lấy thành công viên sỏi bàng quang khổng lồ nặng 1,3 kg ra khỏi cơ thể một người đàn ông.

Đình chỉ bác sĩ bỏ mặc bệnh nhân bị nhiễm trùng bàn chân dẫn đến phải cắt cụt chi

Đình chỉ bác sĩ bỏ mặc bệnh nhân bị nhiễm trùng bàn chân dẫn đến phải cắt cụt chi

Cộng đồng mạng Thứ 4, 20/05/2026 | 10:02

Nam bác sĩ đã bị đình chỉ công tác 13 tháng vì không kịp thời chuyển bệnh nhân bị nhiễm trùng nặng ở chân đến bệnh viện, dẫn đến việc bệnh nhân phải cắt bỏ chân phải.

Người phụ nữ suýt mù mắt vì ký sinh trùng "ẩn náu", bác sĩ điểm mặt thói quen ăn uống "cực độc" nhiều người đang coi thường

Người phụ nữ suýt mù mắt vì ký sinh trùng "ẩn náu", bác sĩ điểm mặt thói quen ăn uống "cực độc" nhiều người đang coi thường

Sức khỏe Thứ 4, 20/05/2026 | 04:00

Một ca bệnh kỳ lạ khiến các bác sĩ không khỏi bất ngờ khi ký sinh trùng bất ngờ xuất hiện trong hốc mắt của một người phụ nữ. Điều đáng nói là nguyên nhân phía sau lại bắt nguồn từ một thói quen mà ít ai ngờ tới.

Người phụ nữ 42 tuổi bụng to bất thường, bác sĩ phát hiện thứ "đáng sợ" 3kg bên trong

Người phụ nữ 42 tuổi bụng to bất thường, bác sĩ phát hiện thứ "đáng sợ" 3kg bên trong

Sức khỏe Thứ 4, 20/05/2026 | 02:00

Ban đầu chỉ là chiếc bụng to dần như tăng cân bình thường, không ai ngờ bên trong lại ẩn giấu một “bí ẩn” khiến cả bác sĩ cũng phải giật mình.

Người đàn ông 35 tuổi "sốc nặng" sau khi mù mắt vì cú đánh pickleball trúng mặt

Người đàn ông 35 tuổi "sốc nặng" sau khi mù mắt vì cú đánh pickleball trúng mặt

Sức khỏe Thứ 3, 19/05/2026 | 10:58

Một trận pickleball tưởng chừng chỉ là cuộc vui cuối ngày bỗng chốc rẽ sang hướng không ai ngờ tới. Chỉ một khoảnh khắc va chạm trên sân đã khiến mọi thứ thay đổi, và sự thật phía sau khiến nhiều người không khỏi rùng mình.