Vừa qua, Bệnh viện Sản – Nhi Cà Mau tiếp nhận và xử trí thành công 2 bệnh nhi bị dị vật đặc biệt nguy hiểm, trong đó 1 bé thủng tá tràng và 1 bé kim băng nằm sát động mạch chủ.
Bé trai Đ. (7 tháng tuổi, ngụ xã An Trạch, tỉnh Cà Mau) được gia đình đưa đến bệnh viện trong tình trạng sốt, ho, khò khè kéo dài 2 ngày. Khai thác bệnh sử cho thấy trong khoảng 3 tháng gần đây, bé thường xuyên bị ho, viêm hô hấp tái đi tái lại.

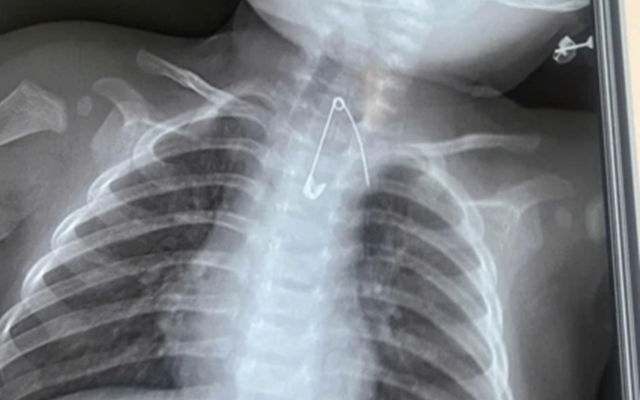
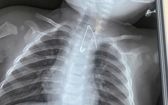
Kim băng nằm sát động mạch chủ bé Đ.
Người nhà cho biết, gia đình có thói quen dùng kim tây (kim băng) ghim bùa bình an vào áo của bé. Qua thăm khám lâm sàng và thực hiện các xét nghiệm cận lâm sàng, các bác sĩ phát hiện một dị vật là kim tây nằm trong mô mềm, ở vị trí sát động mạch chủ, rất nguy hiểm.
Bệnh nhi sau đó được ê-kíp phẫu thuật lấy thành công kim băng, ngăn ngừa các biến chứng nghiêm trọng có thể xảy ra.
Một trường hợp khác là bé N. (5 tuổi, ngụ xã Cái Nước, tỉnh Cà Mau) nhập viện trong tình trạng đau bụng kéo dài suốt 3 ngày, kèm sốt.
Khai thác tiền sử bệnh người nhà bệnh nhi cho biết, cha mẹ bé đi làm xa, bé ở nhà cùng bà nội và có thói quen ăn kẹo mút.
Qua thăm khám, xét nghiệm, các bác sĩ xác định bé bị viêm phúc mạc nặng, cần can thiệp phẫu thuật khẩn cấp để tránh nguy cơ biến chứng nguy hiểm. Trong quá trình phẫu thuật nội soi, ê-kíp phẫu thuật ghi nhận nhiều dịch mủ đục lan tỏa khắp ổ bụng.
Đáng chú ý, các bác sĩ phát hiện một dị vật dạng ống nhựa cứng, màu trắng, dài khoảng 6 cm, xuyên thủng mặt dưới tá tràng. Ca phẫu thuật thành công, bé N. phục hồi tốt.
Các bác sĩ khuyến cáo phụ huynh và người chăm sóc trẻ cần đặc biệt cẩn trọng trong sinh hoạt hằng ngày, không để trẻ tiếp xúc với vật sắc nhọn, đồ chơi nhỏ hoặc các vật dụng dễ nuốt. Khi trẻ có các dấu hiệu bất thường như ho kéo dài, đau bụng, nôn ói dai dẳng, cần nhanh chóng đưa đến cơ sở y tế có đủ năng lực chẩn đoán và xử trí để tránh những hậu quả đáng tiếc.
Trúc Chi (t/h)
