Mới đây, các bác sĩ Khoa Ngoại thận – Tiết niệu và Nam học, Bệnh viện Đa khoa tỉnh Tuyên Quang đã tiếp nhận và xử trí thành công một ca u thận phải, giúp người bệnh được phẫu thuật kịp thời và hiện sức khỏe đã ổn định.
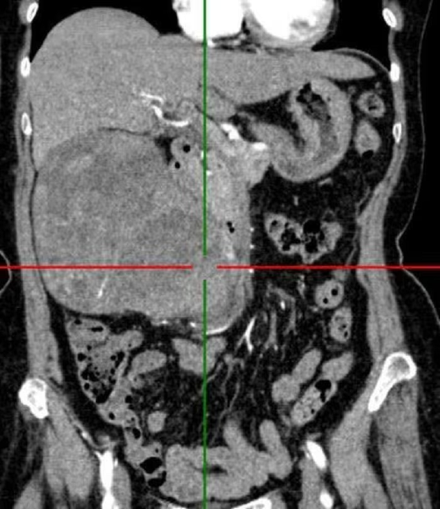
Khai thác tiền sử bệnh cụ bà 72 tuổi nhập viện vì đau âm ỉ vùng hông lưng phải kéo nhiều tháng nay. Sau khi thăm khám và làm xét nghiệm các bác sĩ kết luận nữ bệnh nhân u thận phải.

Tại viện sau hội chẩn khoa, ê-kíp đã quyết định can thiệp phẫu thuật phù hợp, loại bỏ hoàn toàn khối u cho người bệnh. Các bác sĩ Khoa Ngoại thận - Tiết niệu và Nam học, Bệnh viện đa khoa tỉnh Tuyên Quang đã cắt bỏ khối lượng u to, trọng lượng 1,2kg cho bệnh nhân.
Ca phẫu thuật diễn ra an toàn, thuận lợi. Sau mổ, sức khỏe người bệnh ổn định, người bệnh được tư vấn kỹ về bệnh và hướng dẫn theo dõi tiếp sau phẫu thuật.
Theo các bác sĩ Khoa Ngoại thận - Tiết niệu và Nam học - Bệnh viện Đa khoa tỉnh Tuyên Quang u thận có thể không có triệu chứng rõ ràng trong thời gian dài. Người dân cần khám sức khỏe định kỳ, đặc biệt khi có các dấu hiệu: Đau hông lưng kéo dài; Tiểu máu; Gầy sút cân không rõ nguyên nhân; Mệt mỏi kéo dài.
Những thực phẩm "vàng" siêu tốt cho gan, thận
Cá: Nguồn protein chất lượng cao nhưng ít chất béo bão hòa trong cá béo giúp dễ tiêu hóa và thân thiện với hệ lọc của thận. Cá còn cung cấp nhiều khoáng chất như canxi, phốt pho, sắt, kẽm, magie và kali - những dưỡng chất quan trọng cho sự cân bằng nước, điện giải của cơ thể.
Trà xanh: Loại đồ uống này rất tốt cho cơ thể. Trà xanh giàu catechin - nhóm chất chống oxy hóa có lợi cho gan. Nhiều tổng quan nghiên cứu cho thấy trà xanh giúp giảm men gan ở người mắc NAFLD và có thể giảm nguy cơ ung thư gan. Với thận, đồ uống này giúp giảm viêm toàn thân và hạn chế tổn thương tế bào.
Yến mạch: Loại thực phẩm này giàu chất xơ hòa tan, đặc biệt là beta-glucan, yến mạch giúp gan vận hành trơn tru hơn, giảm nguy cơ tích mỡ quanh nội tạng và hỗ trợ kiểm soát cân nặng. Yến mạch là nguồn tinh bột nguyên chất, ít kali và phốt pho, phù hợp với người cần theo dõi chế độ ăn nhưng vẫn muốn giữ bữa sáng đủ chất.
Bông cải xanh: Theo Hiệp hội Nghiên cứu Thận Vương quốc Anh, đây là nguồn chất chống oxy hóa dồi dào, giúp giảm viêm, ổn định đường huyết, tăng miễn dịch và tốt cho tim mạch. Những yếu tố này gián tiếp bảo vệ cả gan và thận.
Bắp cải: Loại rau này giàu hàm lượng kali tự nhiên rất thấp, bắp cải trở thành lựa chọn phù hợp cho người có bệnh thận. Loại thực phẩm này còn chứa vitamin K, vitamin C, folate và chất xơ. Đặc biệt, các chất này giúp trung hòa gốc tự do, ngăn ngừa tổn thương tế bào và hỗ trợ mô thận phục hồi. Đồng thời, bắp cải cũng góp phần giảm stress oxy hóa ở gan - một trong những cơ chế khiến gan bị tổn thương âm thầm theo thời gian.
Trúc Chi (t/h)